Skip Menu
Continue
2001 West 45th Street, Sioux Falls, SD 57105
(605) 338-9242
Logo
  • Home
  • About Us
    • Doctors
    • FAQs
    • Awards
    • Testimonials
    • Before & After
  • Services
  • Kid's Zone
  • Current Patients
    • Request an Appointment
    • Leave a Review
    • Health History Form
  • New Patients
    • Request an Appointment
    • Patient Information Form
    • Records Release Form
    • Brochure
  • Careers
  • Contact
  • Pay Now

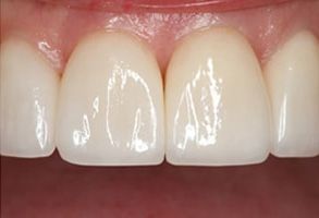
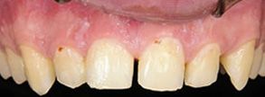
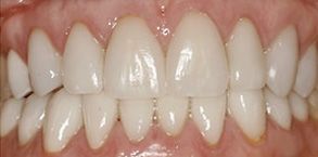
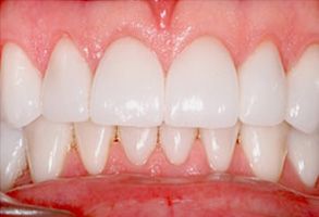
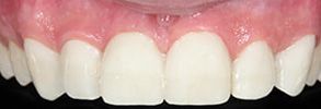
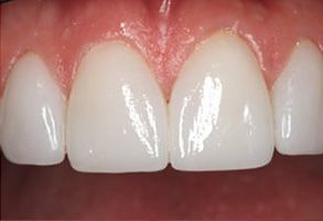
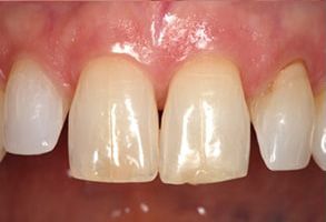
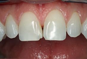
Before & After

ADA
SDDHA
SDDA
Delta Dental